확대 l 축소

육류 과다섭취하면 뇌경색 위험↑

서울대병원·보라매병원, 1천578명 MRI·혈액검사 결과
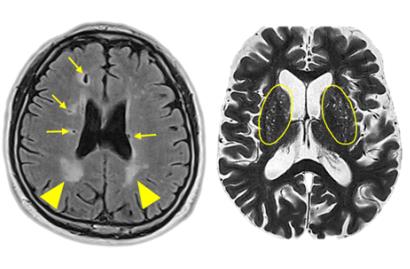
뇌백질 고신호 병변(좌측 사진 화살촉), 열공성 뇌경색(좌측 사진 화살표), 확장성 혈관주위 공간(우측 사진 양쪽 타원 안쪽의 하얀 점들)이 나타난 뇌 MRI 사진
단백질이 풍부한 고기를 먹을 때 체내에 생성되는 아미노산의 일종인 ‘호모시스테인’이 뇌경색 위험을 높일 수 있어 주의가 필요하다는 연구결과가 제시됐다. 이런 위험을 막으려면 비타민B가 풍부한 녹색 채소를 꼭 함께 먹어야 한다는 게 전문가들의 의견이다.

서울대병원·서울특별시보라매병원 공동 연구팀(신경과 남기웅·권형민 교수, 가정의학과 박진호 교수)은 2006∼2013년 사이 서울대병원 건강검진센터를 방문한 1천578명의 뇌 자기공명영상(MRI) 및 혈액검사 결과를 분석한 결과, 혈중 호모시스테인 수치와 뇌경색 사이에 이런 연관성이 관찰됐다고 7일 밝혔다.

 호모시스테인은 체내에 과다하게 축적될 경우 심장병과 뇌졸중은 물론 뇌 조직 손상에 의한 치매 발병 위험을 크게 높이는 것으로 알려져 왔다. 이번 연구를 통해 다시 한번 뇌경색과의 연관성이 확인된 셈이다.

연구팀은 연구 참여자를 혈중 호모시스테인 기준 농도(9.60μmol/ℓ)에 따라 두 그룹으로 나눠 뇌경색 등의 소혈관 질환 위험이 증가하는지 조사했다.

그 결과 호모시스테인 농도가 높은 그룹에서는 혈관 미세출혈과 ‘뇌백질 고신호'(MRI상의 진한 흰색 병변), ‘열공성 뇌경색’(증상이 없는 뇌졸중 증상) 비율이 높았다.

또 전체의 14%에서는 혈관 주변에 빈 공간이 많아 뇌 조직이 치밀하게 자리 잡지 못한 것으로 볼 수 있는 ‘확장성 혈관주위 공간’(EPVS)을 25개 이상 가지고 있었다. 특히 정상 범위로 알려진 호모시스테인 농도(5∼15μmol/ℓ)에서도 뇌경색 위험이 높아지는 유의성이 발견됐다고 연구팀은 강조했다.

권형민 보라매병원 신경과 교수는 “다양한 형태의 소혈관 질환들이 호모시스테인이라는 공통된 원인을 가지고 있음을 규명한 데 의미가 있다”고 말했다.

박진호 서울대병원 가정의학과 교수는 “호모시스테인은 육류 등 단백질이 풍부한 음식을 자주 먹을 경우 농도가 올라가므로 시금치 등의 녹색 채소나 생선 등을 곁들이면 정상 수치 유지에 도움이 된다”면서 “하지만 건강기능식품 형태의 비타민B 복합제는 뇌졸중 예방효과가 검증되지 않은 만큼 유의해야 한다”고 권고했다. 이번 연구결과는 미국 신경과학회 공식 학회지인 ‘신경학’(Neurology) 최근호에 발표됐다.        

신대현 기자

 

이전화면맨위로

확대 l 축소